УЗИ тазобедренных суставов — безопасный метод диагностики, который позволяет выявить дисплазию, незрелость и другие нарушения развития суставов на ранних этапах. В клинике Астрамедика (Киев, Виноградарь) мы проводим обследование малышам с первых недель жизни по методике Графа. Своевременная диагностика помогает вовремя начать наблюдение у ортопеда и избежать длительного лечения.
Что такое УЗИ тазобедренных суставов у новорожденных?
УЗИ тазобедренных суставов у грудничков — это ультразвуковое исследование, которое позволяет оценить состояние еще не окостеневших структур сустава. В первые месяцы жизни тазобедренный сустав ребенка состоит преимущественно из хрящевой ткани. Рентген в этом возрасте менее информативен для оценки хрящевых структур, поэтому предпочтение отдают ультразвуковому исследованию.
Методика была разработана австрийским ортопедом Рейнхардом Графом и стала международным стандартом в детской ортопедии. Врач оценивает форму вертлужной впадины, положение головки бедра, измеряет специальные углы и классифицирует сустав по типам Графа — от 1А (норма) до 4 (врожденный вывих). Это позволяет не только выявить дисплазию, но и определить степень ее выраженности для выбора правильной тактики лечения. Наиболее информативно УЗИ в первые 4-6 месяцев жизни, далее обследование проводится по показаниям.
Услуги УЗИ тазобедренных суставов
В клинике Астрамедика УЗИ тазобедренных суставов проводится в разных ситуациях в зависимости от показаний. Ниже — типичные сценарии, когда назначают исследование.
Скрининговое УЗИ в 1-3 месяца — это плановая проверка, которую желательно пройти всем детям. Длится 15-20 минут, показывает, правильно ли формируются суставы. Даже если внешне все хорошо, УЗИ может выявить скрытые проблемы, которые легко исправить в этом возрасте. Особенно важно для девочек, первенцев и малышей, которые родились в тазовом предлежании.
Целевое обследование по направлению врача назначают, когда педиатр или ортопед заметил что-то подозрительное: несимметричные складки, щелчки в суставах, ограничение разведения ножек. Здесь уже проводится более детальная диагностика с обязательными измерениями углов и подробным протоколом по методике Графа.
Динамическое наблюдение каждые 4-6 недель требуется, если обнаружили незрелость суставов или легкую дисплазию. Следим, как сустав развивается — самостоятельно приходит в норму или нужна помощь ортопеда. Это позволяет вовремя скорректировать лечение, если прогресса недостаточно.
Контроль во время лечения необходим детям в стременах Павлика или других ортопедических устройствах. Проверяем, правильно ли установлено приспособление и насколько эффективно идет формирование сустава. Периодичность определяет ваш ортопед.
Когда необходимо сделать УЗИ тазобедренных суставов ребенку?
Разберем конкретные ситуации, когда УЗИ тазобедренных суставов грудничку становится необходимым. Это поможет понять, нужно ли обследование именно сейчас или можно подождать.
Плановый скрининг в 4-6 недель часто рекомендуется всем детям в современной педиатрии. Даже если внешне все выглядит прекрасно, дисплазия на ранних стадиях часто протекает скрыто. А вот лечение до 3-4 месяцев самое простое — иногда достаточно широкого пеленания и специальной гимнастики. Упустите время — может понадобиться носить стремена или шины несколько месяцев.
Обследование особенно важно, если:
- У вас девочка (дисплазия у них в 5-7 раз чаще, чем у мальчиков)
- Это ваш первый ребенок
- Малыш родился в тазовом предлежании или при многоплодной беременности
- Было маловодие во время беременности
- У кого-то из родителей была дисплазия в детстве
- Ребенок родился недоношенным (связано с общей незрелостью систем)
В таких случаях УЗИ обязательно, даже если педиатр ничего подозрительного не нашел.
Запишитесь на обследование, если заметили:
- Складки на бедрах и под ягодицами несимметричные или разной глубины
- При разведении ножек слышны щелчки или хруст
- Ограничение разведения бедер или асимметрия при движениях
- Визуально одна ножка выглядит короче другой
- Малыш беспокоится, когда вы разводите ножки при смене подгузника
Любой из этих признаков — повод прийти на УЗИ, не дожидаясь планового осмотра.
УЗИ не использует ионизирующее излучение и проводится по показаниям без особых ограничений. Важный нюанс: после 6-8 месяцев головка бедра начинает окостеневать, и ультразвук становится менее информативным. В этом возрасте при необходимости используют рентген. Поэтому важно не упустить первые месяцы, когда УЗИ показывает максимум информации.
Современные технологии УЗИ тазобедренных суставов в нашей клинике
В Астрамедике используется ультразвуковая система Mindray Resona I8 на платформе ZST+ — оборудование экспертного класса, которое обеспечивает высокое разрешение для оценки структур сустава. Линейные датчики высокой частоты позволяют детально рассмотреть хрящевую ткань и провести точные измерения углов по методике Графа. Датчики адаптированы для работы с новорожденными — они компактные, не давят на нежную кожу, а гель подогревается до комфортной температуры.
Как проходит УЗИ тазобедренных суставов у грудничка?
Многие родители переживают перед первым обследованием. Процедура проста и безболезненна для ребенка.
Подготовка минимальная. Специально ничего делать не нужно. Постарайтесь, чтобы ребенок был в хорошем настроении: покормите за 30-40 минут до визита, возьмите любимую игрушку или пустышку. Спокойный малыш — это половина успеха, потому что если ребенок активно крутится и плачет, врачу сложнее зафиксировать нужное положение для точных измерений. Наши специалисты умеют работать даже с беспокойными детьми.
Процедура проходит так. Раздеваем малыша ниже пояса, укладываем на бок. Сначала смотрим один сустав, потом переворачиваем на другой бок для второго. На кожу наносим гипоаллергенный теплый гель — он нужен для лучшего контакта датчика с кожей. Врач плавно водит датчиком в области сустава, картинка выводится на экран. Никаких неприятных ощущений. Занимает 15-20 минут.
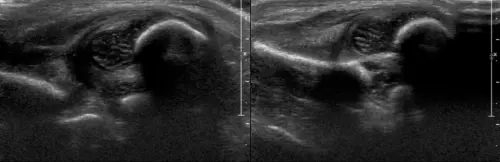
Что оценивает врач: форму вертлужной впадины, положение головки бедра, состояние хрящевой губы и два важных угла. Альфа-угол показывает развитие костной крыши впадины (ориентировочная норма больше 60 градусов для возраста 4-12 недель), бета-угол — хрящевой части (ориентировочно меньше 55 градусов). Интерпретацию углов врач проводит с учетом возраста ребенка. По этим углам сустав относят к одному из типов по Графу — от 1А (норма) до 4 (вывих).
Результаты получаете сразу. Врач УЗД объясняет, что показало сканирование: суставы в норме, есть незрелость или выявлена дисплазия. Вы получаете протокол исследования с указанием типа сустава по классификации Графа, измерениями углов и детальным заключением — сохраните его для динамического наблюдения. Если обнаружены отклонения, врач порекомендует показаться ортопеду или педиатру, который составит план лечения: нужна ли гимнастика, массаж, ортопедические приспособления, когда прийти на контроль. Детальные рекомендации по лечению дает профильный специалист на отдельной консультации.
Стоимость УЗИ тазобедренных суставов в Киеве
Цена УЗИ тазобедренных суставов грудничку в клинике Астрамедика формируется с учетом использования современного оборудования, квалификации специалистов и комфортных условий приема. Стоимость включает процедуру, расшифровку результатов, комментарий врача УЗД по результатам сканирования и письменное заключение с измерениями. Точную цену уточняйте по телефону или на сайте клиники. Возможна оплата наличными или картой.
Запись на УЗИ тазобедренных суставов
Не откладывайте важное обследование! Ранняя диагностика дисплазии тазобедренных суставов — это гарантия здорового развития вашего ребенка. В клинике Астрамедика в Виноградаре вас ждут опытные специалисты, современное оборудование и внимательное отношение к каждому малышу.
Записаться на прием легко: позвоните нам или оставьте заявку на сайте. Прием ведется и в выходные дни по предварительной записи.