УЗД простати — високоінформативний метод діагностики захворювань передміхурової залози, який дозволяє виявити простатит, аденому простати, кісти та новоутворення. В клініці Астрамедіка ви можете зробити УЗД простати на сучасному ультразвуковому сканері експертного класу Mindray Resona I8 з технологією ZONE Sonography. Наші фахівці проводять обстеження з детальною розшифровкою результатів і за необхідності направляють на консультацію уролога для підбору індивідуального плану лікування.
УЗД простати: методика та можливості діагностики

УЗД передміхурової залози — це ультразвукове дослідження, яке візуалізує структуру, розміри та щільність тканин простати. Метод базується на відбитті ультразвукових хвиль від тканин різної щільності, що дозволяє лікарю оцінити стан органа в реальному часі. В урологічній практиці УЗД простати стало стандартом первинної діагностики, тому що процедура безпечна, безболісна і займає всього 10-15 хвилин.
В клініці Астрамедіка УЗД простати проводиться трансабдомінальним методом (через передню черевну стінку) на ультразвуковому сканері експертного класу Mindray Resona I8. Цей метод чудово підходить для первинної діагностики та скринінгу захворювань простати. Апарат оснащений революційною технологією ZONE Sonography, яка забезпечує більш чітке зображення порівняно з традиційними системами. Технологія ZST+ дозволяє досягти високої просторової та часової роздільної здатності, що критично важливо для точної оцінки структури передміхурової залози.
Як роблять УЗД простати через живіт? Пацієнт лягає на спину, лікар наносить спеціальний гель на надлобкову ділянку і проводить датчиком в проекції сечового міхура. Обстеження виконується при наповненому сечовому міхурі, який служить акустичним вікном і дозволяє чітко візуалізувати передміхурову залозу. На екрані монітора в реальному часі видна структура простати, сечового міхура та навколишніх тканин.
Що показує УЗД простати? Лікар оцінює наступні параметри передміхурової залози:
- Розміри та об'єм простати — в нормі об'єм до 25-30 см³ у чоловіків до 50 років, збільшення розмірів характерне для аденоми
- Форму та симетрію часток — залоза повинна бути симетричною, схожою на каштан
- Контури — чіткі рівні контури свідчать про здорову тканину, розмиті можуть вказувати на запалення
- Структуру тканин — однорідність ехогенності, наявність ділянок ущільнення або розрідження
- Наявність патологічних утворень — кісти, кальцинати, вузлові зміни
- Об'єм залишкової сечі — важливий показник при порушеннях сечовипускання
УЗД простати при простатиті виявляє збільшення розмірів залози, неоднорідність структури з ділянками зниженої або підвищеної ехогенності, нечіткість контурів. При хронічному простатиті часто виявляються кальцинати — щільні включення в тканинах, які виглядають як яскраві точки на екрані. УЗД простати при аденомі показує значне збільшення об'єму залози (більше 30-40 см³), деформацію контурів, випинання середньої частки в просвіт сечового міхура.
В деяких випадках, коли потрібна більш детальна оцінка структури простати (наприклад, при підозрі на серйозні патології або для контролю складного лікування), уролог може рекомендувати трансректальне УЗД (ТРУЗД) — цей метод вважається золотим стандартом детальної діагностики в урології. Однак для більшості пацієнтів трансабдомінальне УЗД дає всю необхідну інформацію для постановки діагнозу та початку лікування.
Показання до УЗД простати
УЗД простати при простатиті призначається при появі характерних симптомів запалення. Якщо ви помічаєте наступні ознаки, це привід записатися на обстеження:
- Утруднене сечовипускання, слабкий або переривчастий струмінь сечі
- Прискорені позиви в туалет, особливо вночі (більше 2-3 разів за ніч)
- Відчуття неповного спорожнення сечового міхура
- Болі або печіння при сечовипусканні
- Болі в промежині, внизу живота, паховій ділянці, крижах
- Дискомфорт або біль при еякуляції
- Зниження лібідо, проблеми з ерекцією
- Поява крові в сечі або спермі
При хронічному простатиті симптоми можуть бути змазаними: періодичні тягнучі болі внизу живота, зниження лібідо, швидка втомлюваність. В таких випадках УЗД простати допомагає виявити приховане запалення до розвитку ускладнень.
УЗД простати при аденомі (доброякісній гіперплазії передміхурової залози) необхідне чоловікам після 50 років навіть за відсутності скарг. Аденома розвивається поступово і перші роки може протікати безсимптомно, але УЗД покаже збільшення розмірів залози і допоможе спрогнозувати подальший перебіг хвороби. Також обстеження показане при підвищеному рівні ПСА в крові (простатспецифічного антигену), перед плануванням операцій на органах малого таза, для контролю ефективності лікування урологічних захворювань.
До груп ризику, яким рекомендоване профілактичне УЗД простати раз на рік, належать чоловіки старше 45 років, пацієнти з хронічними запальними захворюваннями сечостатевої системи, чоловіки з обтяженою спадковістю по раку простати, ті, хто веде малорухливий спосіб життя або має нерегулярне статеве життя. Трансабдомінальне УЗД простати не має протипоказань і може проводитися всім пацієнтам незалежно від віку та супутніх захворювань.
Підготовка до УЗД простати
Правильна підготовка до УЗД простати безпосередньо впливає на якість візуалізації та точність результатів. Для трансабдомінального дослідження (через живіт) головна умова — наповнений сечовий міхур, який виконує роль «акустичного вікна» і дозволяє чітко бачити передміхурову залозу. За годину до процедури необхідно випити 800-1000 мл негазованої води (приблизно 4-5 склянок) і не сечитися до закінчення обстеження.
Спеціальної дієти за кілька днів не потрібно, але бажано за добу до УЗД простати уникати продуктів, що викликають підвищене газоутворення. До таких продуктів належать бобові (горох, квасоля, сочевиця), свіжа капуста, чорний хліб, газовані напої, свіжа випічка. Гази в кишечнику можуть погіршити видимість передміхурової залози на екрані монітора.
Перед обстеженням можна приймати всі призначені ліки, включаючи препарати від тиску, діабету або інших хронічних захворювань. Куріння та вживання алкоголю не впливають на результати УЗД, однак краще утриматися від них за кілька годин до процедури. Якщо ви робите УЗД простати повторно для контролю ефективності лікування, постарайтеся записатися на той самий час доби, що і при першому дослідженні — це підвищить порівнянність результатів і дозволить точніше оцінити динаміку змін.
Як проходить обстеження УЗД простати

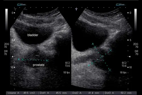
Скільки триває УЗД простати? Процедура займає всього 10-15 хвилин і проходить абсолютно безболісно. Пацієнт лягає на спину на кушетку, лікар наносить спеціальний прозорий гель на низ живота в надлобковій ділянці — він покращує проходження ультразвукових хвиль і забезпечує щільний контакт датчика з шкірою. Потім лікар водить датчиком по передній черевній стінці, злегка натискаючи на ділянку над лобком. Процедура проходить в комфортних умовах, не викликає жодних неприємних відчуттів.
На екрані ультразвукового сканера Mindray Resona I8 в реальному часі видна структура простати, сечового міхура та навколишніх тканин. Завдяки технології ZONE Sonography зображення виходить чітким та деталізованим, що дозволяє лікарю точно оцінити стан передміхурової залози. Лікар робить заміри в кількох проекціях (поздовжній та поперечній), оцінює симетрію часток простати, чіткість контурів, однорідність структури тканин, вимірює об'єм залози. Додатково вимірюється об'єм залишкової сечі в сечовому міхурі — пацієнта просять помочитися, після чого проводиться повторне сканування для оцінки цього важливого показника.
Будь-які відхилення від норми — збільшення розмірів, неоднорідність структури, ділянки підвищеної або зниженої щільності, кісти, кальцинати — докладно описуються в протоколі дослідження. Розшифровка УЗД простати видається одразу після процедури на руки пацієнту, а при виявленні патологічних змін лікар рекомендує консультацію уролога для призначення лікування.
Розшифровка результатів УЗД простати: норми та відхилення
Норми УЗД простати залежать від віку чоловіка. У молодих чоловіків 20-40 років об'єм передміхурової залози зазвичай становить 20-25 см³, розміри: довжина 2,5-3,5 см, ширина 2,5-4 см, товщина 1,5-2,5 см. Після 50 років допустиме збільшення до 30 см³ за рахунок вікових змін. Структура повинна бути однорідною, середньої ехогенності, контури рівні та чіткі, сім'яні пухирці симетричні, без розширень.
При простатиті на УЗД видно ділянки зниженої або підвищеної ехогенності (неоднорідність структури), розміри залози можуть бути збільшені, контури нечіткі, розмиті. Характерні ознаки застою: розширені сім'яні пухирці, залишкова сеча більше 50 мл. При хронічному простатиті часто виявляються кальцинати — щільні включення в тканинах простати різного розміру, які виглядають як яскраві точки з акустичною тінню.
Аденома простати на УЗД проявляється збільшенням об'єму залози (більше 30-40 см³), появою вузлових утворень, деформацією контурів. Часто страждає середня частка, яка виступає в просвіт сечового міхура, що добре видно при трансабдомінальному дослідженні. При аденомі важливо оцінити кількість залишкової сечі — якщо вона перевищує 100 мл, це свідчить про виражене порушення відтоку і вимагає активного лікування. Кісти простати виглядають як округлі анехогенні (темні) утворення з чіткими контурами, вони можуть бути вродженими або набутими на тлі хронічного запалення.
Вартість УЗД простати в клініці Астрамедіка
Вартість УЗД простати в нашій клініці включає роботу лікаря-діагноста, використання ультразвукового сканера експертного класу, витратні матеріали та видачу протоколу з розшифровкою результатів на руки. Ціна УЗД простати Київ формується прозоро, без прихованих доплат та додаткових платежів.
Якщо одночасно потрібне УЗД сечового міхура і простати для комплексної оцінки сечовидільної системи, доступні пакетні пропозиції. Таке комплексне обстеження дозволяє за одне відвідування отримати повну картину стану органів малого таза і оцінити взаємозв'язок виявлених змін.
Платне УЗД простати в Астрамедіка можна оплатити готівкою, карткою або через банківський додаток. Ми працюємо зі страховими компаніями за програмами добровільного медичного страхування — якщо у вас є поліс ДМС, уточніть можливість відшкодування у свого страховика. Учасникам бойових дій та пенсіонерам надається знижка на всі види діагностики.
Запис на УЗД простати у Виноградарі
Рання діагностика захворювань простати значно підвищує ефективність лікування і дозволяє уникнути серйозних ускладнень. Не відкладайте турботу про своє здоров'я — в клініці Астрамедіка ви отримаєте точну діагностику без черг, комфортні умови обстеження та професійну консультацію уролога в день звернення. Записатися на УЗД простати можна по телефону, через форму на сайті або в мобільному додатку — ми працюємо щодня і підберемо зручний для вас час.