Ехо серця дитині — це ультразвукове дослідження, яке показує будову серця, стан клапанів і характер кровотоку. Без променевого навантаження, без болю, результат того ж дня. У клініці Астрамедика ехокардіографію дітям проводять із перших тижнів життя: від планового обстеження новонародженого до контрольного УЗД серця дитині при виявлених змінах. Без направлення, на Виноградарі.
Що таке ехокардіографія у дітей
По суті — те саме УЗД, тільки спрямоване конкретно на серце. Датчик водять по грудній клітці, апарат будує зображення в реальному часі. Лікар бачить кожне скорочення: розміри камер, товщину стінок, роботу клапанів, швидкість кровотоку. Нічого інвазивного.
Дитяча ехокардіографія має свою специфіку — і справа не лише в тому, що серце маленьке. У новонароджених існують структури, які в нормі закриваються в перші дні або місяці життя: відкрита артеріальна протока, відкрите овальне вікно. Визначити, норма це чи відхилення в конкретному випадку — завдання лікаря, знайомого саме з неонатальною ехокардіографією, а не спеціаліста загальної ультразвукової діагностики.
У педіатрії ехо серця використовується повсюдно: дитячий кардіолог, невролог, пульмонолог, хірург перед операцією — усі вони спираються на його дані. Метод безпечний із перших днів життя, вікових обмежень немає.
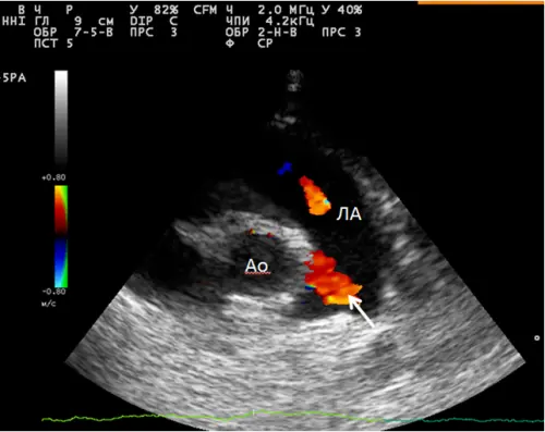
Види ехокардіографії для дітей у клініці
Вид дослідження визначає лікар — пацієнту обирати не потрібно. Але щоб розуміти, що відбувається на прийомі: стандартна ехокардіографія оцінює анатомію — розміри камер, будову клапанів, наявність дефектів перегородок. Це базовий протокол. Ехокардіографія з допплером додатково вимірює швидкість і характер кровотоку — незамінна при шумах і підозрі на клапанну патологію. ЕХО серця новонародженому — окремий протокол з урахуванням неонатальної фізіології: відкрита артеріальна протока, персистуюче овальне вікно, транзиторна легенева гіпертензія. Тривалість будь-якого з форматів — 20–35 хвилин.
Коли потрібно зробити ехо серця дитині
Найпоширеніший привід — педіатр почув шум у серці дитини. Це не завжди патологія: функціональні шуми у дітей зустрічаються часто і з часом минають самостійно. Але відрізнити їх від органічних без ехокардіографії неможливо. Тому при будь-якому шумі — ЕХО обов'язкове.
Окрім шумів, показаннями до УЗД серця дитині є такі стани:
- планове обстеження у віці 1 місяця — скринінг вроджених аномалій;
- синюшність шкіри або губ, особливо під час годування або плачу;
- задишка, прискорене дихання у немовляти при навантаженні;
- швидка втомлюваність, зниження фізичної активності у дітей старшого віку;
- непритомність або переднепритомні стани;
- порушення ритму, виявлені на ЕКГ;
- підготовка до планової операції під наркозом;
- обтяжена спадковість: вади серця у близьких родичів.
Окремої уваги заслуговують діти, які перенесли тяжкі інфекції — ангіни, скарлатину, тривалу лихоманку при ГРВІ. Ревматичне ураження клапанів формується поступово і спочатку не проявляється жодними скаргами. УЗД серця дитині через 3–4 тижні після такої хвороби — розумний захід, а не зайва обережність.
Обладнання для ехо серця дітям в Астрамедика
Для дитячих досліджень використовується ультразвукова система [модель — уточнити у клініки] з високочастотним педіатричним датчиком. Режим кольорового допплерівського картування включений у стандартний протокол: саме він дозволяє виявити патологічний скид крові через дефекти перегородок, які у звичайному В-режимі можуть бути не видні.
Зображення виводиться в реальному часі — лікар коментує те, що відбувається на екрані під час дослідження, не відкладаючи пояснення.
Як проходить ехо серця дитині: що чекає на прийомі
Більшість батьків хвилюються заздалегідь — особливо якщо йдеться про немовля. Насправді все займає менше години і проходить без будь-яких неприємних відчуттів.
- Запис і підготовка. Спеціальної підготовки немає — немовля можна погодувати безпосередньо перед прийомом. Попередні ЕКГ або висновки щодо серця, якщо є, візьміть із собою.
- Коротка бесіда. Лікар уточнює скарги, вивчає попередні матеріали. Займає 5–7 хвилин.
- Дослідження. Дитина лежить на спині або боці, на шкіру наноситься теплий гель, датчик прикладається до грудної клітки — ніякого болю. Немовлят можна тримати на руках. Тривалість — 20–30 хвилин для стандартного протоколу, до 35 хвилин з допплером.
- Висновок і рекомендації. Письмовий висновок з описом — одразу після дослідження. Лікар пояснює результат усно і за потреби направляє до дитячого кардіолога того ж дня.
Один нюанс: якщо дитина неспокійна або плаче — дослідження все одно проводять. Частину параметрів вимірюють у момент відносного спокою. Досвідчений спеціаліст вміє працювати в таких умовах.
Вартість ехокардіографії дитині в Києві
Ціна ехо серця дитині в Астрамедика фіксована — ніяких доплат за висновок або «розширений протокол». На підсумкову вартість УЗД серця дитині впливають два параметри: вид дослідження (стандартне або з кольоровим допплером) і вік пацієнта.
Актуальну ціну уточнюйте при записі. Клініка працює з рядом страхових компаній. Для постійних пацієнтів діє накопичувальна система знижок. Періодично проводяться акції на дитячу діагностику — уточнюйте при бронюванні.
Запис на ехокардіографію дитині в Києві (Виноградар)
Якщо педіатр почув шум, дитина швидко втомлюється або просто потрібне планове обстеження в 1 місяць — записуйтеся зараз. Рання діагностика дає лікарю більше варіантів: більшість знахідок, виявлених у перші місяці життя, або не потребують лікування, або вирішуються значно простіше, ніж при пізньому виявленні.
Записатися можна онлайн через форму на сайті або за телефоном клініки.